As we know well through our work in brain health communities across the US, dementia is a complex and challenging condition that affects millions of Americans from Columbus, Ohio to San Jose California. Among the various types of dementia, frontotemporal dementia (FTD), poses unique diagnostic difficulties–sometimes so difficult to diagnose that even certain medical professionals can miss the warning signs. A recent article and profile and profile of OB-GYN Dr. Seth L. Stern by the Wall Street Journal sheds light on the critical importance of early detection and diagnosis in making a significant difference for people living with FTD and their families. In this blog post, we delve into the insights provided by the article and explore the transformative impact of early intervention in managing FTD.

The Challenges of Diagnosing Frontotemporal Dementia:
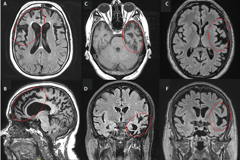
Diagnosing FTD can be a complex task, often leading to delayed or inaccurate diagnoses. A shortage of behavioral neurologists and other specialists, limited access to diagnostic tests, and the reluctance to address the topic contribute to the challenges faced by both doctors and patients. This WSJ article highlights personal stories, including that of Dr. Seth L. Stern, an OB-GYN in New York who experienced cognitive issues before being diagnosed with FTD. Such narratives and the stories we hear every day from our patients underline the emotional toll and frustration that individuals and their loved ones experience due to the difficulty in obtaining an accurate diagnosis.
The Significance of Early Diagnosis:
Early detection and diagnosis of FTD can be life-changing for individuals and their families. It provides an opportunity to make informed decisions, including financial and legal planning, while individuals are still capable. Even as there are new developments in treatments and drugs such as Donanemab, early intervention becomes even more critical to slow the decline in the early stages of related dementias. Although these drugs may not directly treat FTD, they offer hope for future advancements and potential treatments across a broader spectrum of dementia and can assist the medical strategies that your Isaac Health team implements as part of your care plan.
The Power of Resilience and Adaptation:
Amidst the challenges a patient and families face on a day-to-day basis there’s something to be said for resilience and adaptation. Individuals with FTD, like Dr. Stern and Isaac Health patients, actively manage their condition by implementing lifestyle changes, engaging in cognitive exercises, and fostering social connections. Dr. Stern’s journey of accepting his diagnosis, proposing to his partner, and planning for the future highlights the strength and determination of those facing dementia. These stories underscore the importance of support, awareness, and research to improve the diagnosis and management of FTD.
Finding Care and Support:
Early detection and diagnosis of frontotemporal dementia can be life-altering for individuals and their families–which allows for proactive planning, access to appropriate care, and the potential for participating in future treatments. Thank you to WSJ for ‘being on our team’ and shedding light on the transformative power of early intervention. And if you or someone in your family is having memory issues and would like to connect with one of our medical specialists, please reach out to us here: /registration/.


